“I was healed of patella fracture at the risk of surgery!”
|
|
|
 702 |
 |
March 09, 2025 |
|
|
|
 Sister Changsoon Won (70, Dogsan Dong, Geumcheon Gu, Seoul, Korea)
On October, 13 of 2024, I was on a pedestrian crossing and as the traffic light was changing to red, I hurried to run and missed my step. After slipping down, I ached severely in my left knee and had a difficulty walking properly. I narrowly came back home with the aid of those around me. In the morning of next day, I called my great parish pastor Geumran Hwang and she prayed for me over the phone. After that my pain was relieved and I went to the hospital for the examination. Through the X-ray result, the doctor said to me, “You have the left patella fracture, and need a surgery.” But I didn’t receive surgery and returned home wearing a cast. I thought over why this happened to me and looked back on my past days. And I repented of my hot-temper, ill-feelings, envy, judgment, condemnation, and of not praying fervently. Afterwards whenever I attended Sunday morning services, I received Senior Pastor Soojin Lee’s prayer for the sick. On October 29, Chinese Parishes 2 & 3 held a special prayer meeting for the fullness of the Spirit and I took a taxi with the help of my husband and my district leader to attend it. Speaker Pastor Miyoung Lee prayed for me and the fire of the Spirit came upon me. I felt like my head, waist, and legs became hot and refreshed. One the way back home after the meeting, there was no pain and I could step down on the ground with my left foot. I wanted to be healed completely and examined my life reading a religious book ‘The Message of the Cross.” I repented of my detailed wrongdoings such as not performing my missions sincerely. On November 1, I attended a Friday night service happily and then dreamed of Senior Pastor Soojin Lee. In my dream, she said to me, “Rise up and walk!” I woke up and became assured of my healing. Later I took off a cast and tried moving my leg. I was able to walk well without a cane I had leaned on. Hallelujah! In addition, I had felt a lump, the size of a cherry tomato, in the left neck from two years ago and in the morning one day I found it had also disappeared. I wanted to make it sure medically, and went to the hospital for the medical examination on November 14. The doctor said, “A patient with patella fracture cannot move their legs even after one month. It’s a miracle that you are able to move your leg just in three weeks even without surgery.” And he added, “Your fracture is completely restored, too!” Hallelujah! I give all my thanks and glory to Father God who healed me of patella fracture at the risk of surgery.
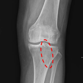
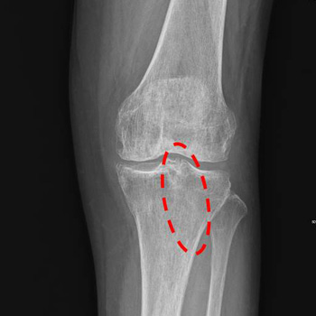
X-ray result
 ▲ Before prayer: patella fracture with articular surface
 ▲ After prayer: synostosis complete
|
|